Tooth decay, commonly known as cavities, is one of the most prevalent dental problems affecting people of all ages. According to dental experts, almost every adult will experience some form of cavities during their lifetime. While conventional treatments like fillings and root canals are effective, natural and preventive strategies can slow down, stop, or even reverse early-stage tooth decay. If you want to know how to take control of your oral health, this guide is for you.
Understanding Cavities (Tooth Decay): Symptoms, Causes & Treatment
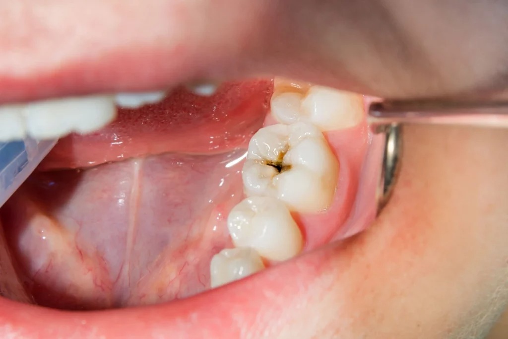
Before exploring ways to heal tooth decay, it’s crucial to understand what cavities are. Cavities are areas of the tooth where enamel—the hard, protective outer layer—has been damaged by acids produced by bacteria. When left untreated, cavities can progress into deeper layers of the tooth, causing pain, infection, and potential tooth loss.
Common Symptoms of Cavities Include:
- Toothache or spontaneous pain without any apparent cause
- Sensitivity to hot, cold, or sweet foods and beverages
- Visible holes or pits in the teeth
- Dark spots or discoloration on tooth surfaces
- Bad breath or an unpleasant taste in the mouth
Primary Causes of Tooth Decay:
- Poor oral hygiene leads to plaque buildup
- Frequent consumption of sugary and acidic foods and drinks
- Dry mouth or reduced saliva production
- Bacterial infections in the mouth
- Certain medical conditions, medications, or genetic predispositions
Traditional treatments for cavities typically involve fillings, crowns, or root canals, depending on the severity. However, early-stage tooth decay can sometimes be reversed without invasive procedures.
1. Practice Excellent Oral Hygiene
The foundation for preventing and reversing cavities is consistent oral hygiene. Brushing and flossing remove plaque and food particles that feed harmful bacteria.
Tips for Effective Oral Care:
- Brush your teeth twice daily using fluoride toothpaste
- Use a soft-bristle toothbrush to prevent enamel damage
- Floss daily to remove debris between teeth
- Rinse with an antibacterial mouthwash to reduce bacterial buildup
Fluoride, found in toothpaste and some mouth rinses, is particularly effective in strengthening enamel and making it more resistant to acid attacks. Regular dental checkups in Canada also allow your dentist to catch early signs of cavities before they worsen.
2. Adopt a Tooth-Friendly Diet
Diet plays a significant role in both causing and healing cavities. Sugary and acidic foods provide the perfect environment for bacteria to thrive, producing acids that erode enamel.
To Reduce Tooth Decay:
- Limit sugary snacks, soda, and processed foods
- Incorporate foods rich in calcium, phosphorus, and vitamin D, which help remineralize teeth
- Eat plenty of vegetables and fruits that stimulate saliva production, a natural defense against cavities
- Drink water regularly to maintain hydration and help wash away food particles
Probiotic-rich foods like yogurt and kefir may also support oral health by promoting a balanced oral microbiome.
Also read: 7 Calcium-Rich Foods for Strong Teeth
3. Use Remineralizing Treatments
Remineralization is the natural process of restoring minerals to tooth enamel. Early cavities, also known as incipient lesions, can often be reversed if enamel mineral loss is addressed promptly.
Effective Remineralizing Methods:
- Fluoride Treatments: Over-the-counter fluoride toothpaste, mouth rinses, or professional fluoride treatments by your dentist can strengthen enamel.
- Calcium and Phosphate Products: Products containing calcium phosphate, like specific toothpaste or gels, help replenish minerals lost due to decay.
- Xylitol-Based Chewing Gum: Xylitol reduces the growth of cavity-causing bacteria and promotes mineral absorption.
You can access these remineralizing products at local pharmacies or through dental professionals.
4. Avoid Acidic and Harmful Habits
Certain lifestyle habits accelerate tooth decay, making it harder for enamel to recover.
Habits to Avoid:
- Frequent snacking on sugary or starchy foods
- Sipping acidic beverages like soda, coffee, or citrus juices throughout the day
- Smoking or using tobacco products
- Grinding or clenching teeth, which can wear down enamel
By reducing exposure to these harmful factors, you allow your teeth the chance to heal naturally. If you grind your teeth at night, wearing a mouthguard can protect your enamel from further damage.
5. Regular Dental Checkups and Professional Advice
Even with the best home care, regular dental visits remain essential. Dentists can detect cavities early, provide professional fluoride treatments, and guide you on personalized care plans.
Questions to Discuss with Your Dentist:
- Can a cavity heal without a filling in my case?
- Are there specific remineralizing treatments suitable for me?
- How often should I have professional cleanings and fluoride applications?
In Canada, preventive dentistry is emphasized, and many dental clinics offer programs specifically focused on early detection and minimally invasive treatment of cavities.
Can a Cavity Heal Without a Filling?
Yes, under certain conditions, early-stage cavities can heal without fillings. The key is identifying decay before it penetrates the dentin, the inner layer of the tooth. Remineralization through fluoride, proper diet, and meticulous oral care can restore enamel strength and halt cavity progression. However, once a cavity reaches the dentin or causes pain, fillings or other interventions are typically necessary.
Final Thoughts
Cavities and tooth decay are common issues, but they are not always irreversible. By practicing these tips, you can actively support the healing process and prevent further damage. If you are looking for guidance on how to get rid of cavities or wondering whether a cavity can heal without a filling, consult with our dentist. Early intervention is the most effective way to maintain a healthy smile for life.
 
								

 
								