A straighter smile is something many people consider, but wearing traditional braces can make some hesitate. That is where Invisalign has become a popular option across Canada. With its clear, removable aligners and discreet appearance, it offers a modern way to improve your smile without major lifestyle disruptions.
One of the most common questions people ask before starting treatment is simple: how long does Invisalign take? The answer depends on several factors, including your dental condition, consistency, and treatment plan. Understanding the timeline and what influences it can help you set realistic expectations and stay committed to the process.
What Is Invisalign and How Does It Work?
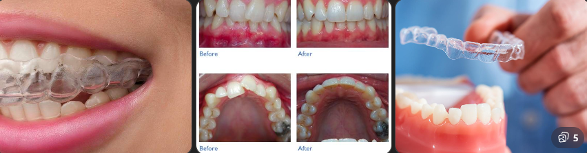
Invisalign is an orthodontic treatment that uses a series of clear, custom-made aligners to move your teeth into the desired position gradually. Each set of aligners is worn for about one to two weeks before being replaced with the next in the series.

These aligners are created using advanced digital imaging technology, allowing your dentist to map out your entire treatment plan from start to finish. Unlike traditional braces, Invisalign aligners are removable, so you can take them out to eat, brush, or attend special occasions.
The convenience and subtle appearance make Invisalign especially appealing for adults and teens who want a less noticeable way to straighten their teeth.
Average Invisalign Treatment Time
For most patients, Invisalign treatment typically takes between 12 and 18 months. However, this is only a general estimate. Some people may complete their treatment in as little as 6 months, while others may require up to 24 months or longer.
Here is a simple breakdown:
- Minor alignment issues: 6 to 9 months
- Moderate cases: 12 to 18 months
- Complex orthodontic cases: 18 to 24 months or more
Your dentist or orthodontist will provide a personalized timeline after evaluating your teeth and creating a customized treatment plan.
Factors That Affect Invisalign Treatment Time
Several important factors influence how long your Invisalign journey will take. Understanding these can help you stay on track and avoid unnecessary delays.
Complexity of Your Dental Case
The complexity of your dental issues is the biggest factor in determining treatment time.
- Mild crowding or small gaps can be corrected quickly
- Moderate alignment issues require more time and precision
- Severe bite problems, such as overbite or underbite, take longer to treat
If your case involves significant tooth movement or bite correction, your treatment plan will naturally be longer.

Patient Compliance and Daily Wear Time
Invisalign aligners must be worn for 20 to 22 hours per day to be effective. This means you should only remove them for eating, drinking anything other than water, and oral hygiene.
If you frequently forget to wear your aligners or leave them out for long periods, your treatment will likely take longer than expected.
Consistency is one of the most important factors in achieving results on time. Patients who follow instructions carefully often complete treatment within the estimated timeline.
Age and Biological Response
Age can also influence how quickly your teeth move. Younger patients often experience faster results because their teeth and jawbones are still developing.
Adults can still achieve excellent results with Invisalign, but tooth movement may take slightly longer due to a slower biological response. However, this difference is usually not significant when patients follow their treatment plan properly.
Type of Invisalign Treatment Plan
Not all Invisalign treatments are the same. There are different types of plans designed for various levels of correction.
- Invisalign Express: Designed for very minor corrections, often completed in a few months
- Invisalign Lite: Suitable for mild to moderate cases
- Full Invisalign: Used for more complex orthodontic issues
The type of plan recommended by your dentist will directly impact how long your treatment takes.
Use of Attachments and Additional Tools
In some cases, small tooth-coloured attachments are placed on your teeth to help the aligners grip and move them more effectively. Elastics may also be used for bite correction.
While these additions improve treatment efficiency, they may be part of more complex cases, which can extend the overall timeline.

Refinements and Mid-Course Corrections
After completing your initial set of aligners, your dentist may recommend refinements. These are additional aligners used to fine-tune your results and ensure your teeth are perfectly aligned.
Refinements are common and do not mean your treatment has failed. However, they can add a few extra weeks or months to your overall timeline.
Oral Health and Pre-Treatment Preparation
Before starting Invisalign, your dentist will ensure your teeth and gums are healthy. If you require treatments such as fillings, gum care, or extractions, these must be completed first.
Delays in addressing oral health issues can push back the start of your Invisalign journey and extend the overall timeline.
How to Stay on Track with Your Invisalign Timeline
Staying committed to your treatment plan is key to achieving results on time. Here are some practical tips to help you stay on schedule:
- Wear your aligners for the recommended 20 to 22 hours daily
- Switch to new aligners exactly as instructed
- Attend all scheduled dental check-ups
- Keep your aligners clean and safe when not in use
- Avoid losing or damaging your trays
Small habits can make a big difference in ensuring your treatment progresses smoothly.
Also read: Direct Insurance Billing at PoCo Dental Group: How It Works
What Happens After Invisalign Treatment?
Completing your Invisalign treatment is a major milestone, but maintaining your results is just as important.
After your teeth have moved into their final position, you will need to wear a retainer. Retainers help keep your teeth from shifting back to their original position.
Most patients are advised to wear retainers full-time initially, followed by nighttime use for long-term maintenance. Skipping this step can undo months of progress.
Is Invisalign Faster Than Traditional Braces?
In many cases, Invisalign can be just as fast as traditional braces, especially for mild to moderate alignment issues. The use of digital planning and precise aligner design allows for efficient tooth movement.
However, for very complex cases, traditional braces may still be the better option. Your dentist will recommend the most suitable treatment based on your specific needs.
When Should You Consider Invisalign?
Invisalign is a great option for individuals who:
- Want a discreet way to straighten their teeth
- Have mild to moderate alignment issues
- Are committed to wearing aligners consistently
- Prefer a removable alternative to braces
If you are unsure whether Invisalign is right for you, you can book an appointment with our dentist, who can provide clarity.
Final Thoughts
The length of Invisalign treatment varies from person to person, but most patients can expect results within 12 to 18 months. Factors such as case complexity, daily wear habits, and overall oral health all play a role in determining your timeline.
While the process requires commitment, the results can be life-changing. A straighter, healthier smile not only improves your appearance but also boosts your confidence and oral health.
If you are considering Invisalign treatment in Maple Ridge, getting in touch with an experienced dentist is the best first step. A personalized consultation will help you understand your timeline, treatment plan, and expected results, so you can move forward with confidence.
Frequently Asked Questions
1. How long does Invisalign take to show results?
Most patients start noticing visible changes within a few weeks to a couple of months. However, full results depend on your treatment plan, with most cases completing between 12 and 18 months.
2. Can Invisalign work faster than braces?
Yes, in many mild to moderate cases, Invisalign can be as fast or even faster than traditional braces. However, for more complex dental issues, braces may sometimes be more effective.
3. What happens if I don’t wear Invisalign for 22 hours a day?
Not wearing your aligners for the recommended time can delay your progress. Teeth may not move as planned, which can extend your overall treatment timeline or require additional aligners.
4. Is Invisalign painful?
Invisalign is generally less painful than traditional braces, but you may feel mild pressure or discomfort when switching to a new set of aligners. This usually subsides within a few days.
5. How often do I need to change Invisalign trays?
Most patients switch to a new set of aligners every 1 to 2 weeks, depending on their dentist’s recommendation and treatment plan.
6. Can I eat while wearing Invisalign aligners?
No, you should remove your aligners before eating or drinking anything other than water. Eating with them on can damage the trays and affect hygiene.
7. Do I need attachments for Invisalign treatment?
Some patients require small tooth-coloured attachments to help move teeth more effectively. Not everyone needs them, but they are common in moderate to complex cases.
8. Will I need retainers after Invisalign treatment?
Yes, wearing a retainer is essential after completing Invisalign. It helps maintain your results and prevents your teeth from shifting back over time.
9. Can adults get Invisalign, or is it only for teens?
Invisalign is suitable for both adults and teens. In fact, many adults prefer it because of its discreet appearance and flexibility.
10. How do I know if I am a good candidate for Invisalign?
You may be a good candidate if you have mild to moderate alignment issues, good oral health, and are willing to wear aligners consistently. A consultation with a dentist is the best way to confirm.

